Formation en immersion clinique en cardiologie Observation semaine entière

Dernière mise à jour : 21/04/2026

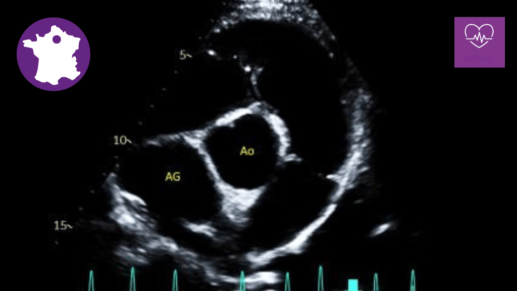
Bannière visuelle de présentation de la formation
Le service de cardiologie propose jusqu'à 15 consultations quotidiennes, avec une expertise actualisée et pointue. Il inclut une consultation spécialisée en rythmologie et réalise des interventions de cardiologie interventionnelle sur le site du ChuvA-AC

Lieu : ENVA - Maisons-Alfort (94)

Établissement : ENVA

Objectifs

  • Connaitre les coupes échocardiographiques les plus communes
  • Savoir interpréter un tracé ECG
  • Apprendre les principes de l'écho-Doppler 
  • Savoir se servir au mieux des outils dédiés à la cardiologie
  • Connaitre les caractéristiques physiopathologiques et les principes thérapeutiques des cardiopathies

Public visé

Tout vétérinaire généraliste et/ou voulant approfondir la cardiologie, l'échocardiographie et l'électrocardiogramme.

 

 

 

Prérequis

Exercer dans une structure vétérinaire pour petits animaux et disposer d'un équipement pour pouvoir pratiquer des examens complémentaires en cardiologie.

Programme type

Candidature auprès du service de la formation continue : envoyer CV et lettre de motivation à l'adresse [email protected] et [email protected]

Jour 1 – (9:00-17:00) – Consultations ;

Jour 2 - (8:00-17:00) – TD ; consultations ; TD/TP spécifique de rythmologie

Jour 3 - (8:30-17:00) – Consultations

Jour 4 - (9:00-17:00) – Consultations

Jour 5 - (8:30-17:00) – Consultations ; QCM

Méthodes et modalités pédagogiques

Alternance de méthodes pédagogiques variées, adaptées aux différentes compétences à acquérir. 

Moyens et supports pédagogiques

Uniquement fichiers en version numérique.

Modalités d'évaluation et de suivi

Un QCM sur la partie théorique fondamentale (anatomie, physiopathologie, etc.) à l'issue de la période de la semaine de formation.

Profil du / des Formateur(s)

Modalités d'admission

CV et lettre de motivation

Points CFC / Crédits ECTS

3

M'inscrire à la formation

S'inscrire

Session sélectionnée

  • COMPLÈTE

Prochaines Sessions

  • Désolé, cette formation n'est pas programmée pour le moment.

Partager cette formation

Accessibilité

Sélectionnez le niveau de contraste souhaité
Adaptez la taille de la police
Sélectionnez la police de caractères souhaitée

Déclaration d'accessibilité